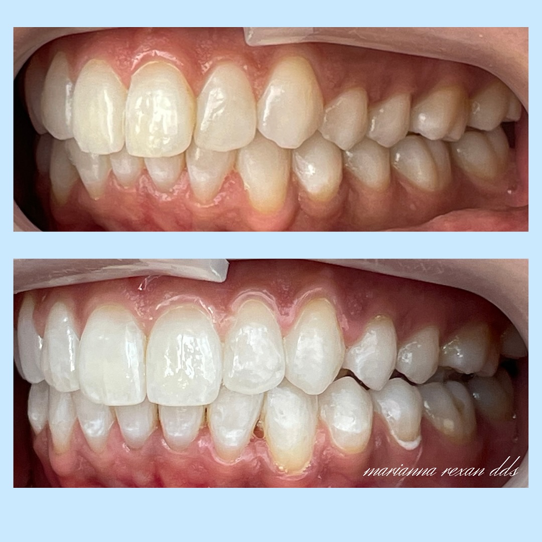
Before & Afters
.webp)
Real Patient Transformations
Smiles That Inspire Confidence
At Union Fillmore Dental, we’re privileged to help patients achieve the smiles they’ve always dreamed of. Whether you’re looking to restore your oral health or enhance your smile’s natural beauty, we’re here to guide you every step of the way. Witnessing our patients leave with renewed confidence and radiant smiles fuels our passion for what we do. Explore our Before & After gallery to see the incredible transformations we’ve been honored to be a part of!









